Skip to content Skip to sidebar Skip to footer

Myelodysplastic Syndrome Blood Smear

Myelodysplastic Syndrome Wikipedia

Myelodysplastic Syndrome Wikipedia

Myelodysplastic syndrome blood smear. If acute myeloid leukemia supervenes it. The diagnosis of the myelodysplastic syndrome should include a complete blood count and peripheral blood smears. Diagnosis is by blood count peripheral smear and bone marrow aspiration and biopsy.

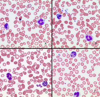
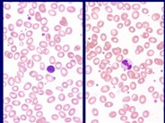
Enlarge Blood cell development. Blood smear The peripheral blood smear usually demonstrates dysplasia in the red and white blood cell series and may reveal platelet abnormalities. Poor stain quality can give the.

Red blood cells Red blood cells are usually normocytic or macrocytic but some patients may have a subpopulation of hypochromic microcytic red cells. The red blood cells show marked poikilocytosis in part related to post-splenectomy status. Platelet levels may also be low which can cause bleeding and bruising.

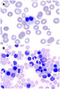
Blood smear from an adult female with a myelodysplastic syndrome related to radiotherapy and chemotherapy for Hodgkin disease. In a patient with a myelodysplastic syndrome the blood stem cells immature cells do not become mature red blood cells white blood cells or platelets in the bone marrowThese immature blood cells called blasts do not work the way they should and either. A hypogranular neutrophil with a pseudo-Pelger-Huet nucleus is shown.

A subsequent bone marrow biopsy and aspiration disclosed hypercellularity and morphologic abnormalities within the megakaryocyte erythroid and myeloid series. When a myelodysplastic syndrome is suspected a bone marrow study should be performed including cytogenetic studies to detect genetic mutations. Peripheral blood smear analysis revealed anisocytes mild leukopenia and occasional hypersegmented eosinophils.

When writing a review on the myelodysplastic syndromes MDSs for the readers of Blood the overriding challenge is how to make it interesting for those outside the myeloid malignancies field but also provocative enough for those investigating or treating patients with this diseaseThe availability of several FDA-approved therapies for MDS and of mouse models that recapitulate aspects of. The diagnosis of MDS is based upon cytopenia in the peripheral blood. A hematologist will also look at the blood sample under a microscope in a test called a blood smear.

Sections of peripheral blood smears. In the myelodysplastic syndrome blood cell components fail to mature and the condition may progress to acute nonlymphocytic leukemia.

Apoptotic Neutrophil In Peripheral Blood Of A Patient With Myelodysplastic Syndrome Mds

Apoptotic Neutrophil In Peripheral Blood Of A Patient With Myelodysplastic Syndrome Mds

Myelodysplastic Syndrome Ask Hematologist Understand Hematology

Myelodysplastic Syndrome Ask Hematologist Understand Hematology

Myelodysplastic Syndrome Myelodysplastic Syndrome Associated With Isolated Del 5q Chromosome Abnormality 5q Syndrome 1

Myelodysplastic Syndrome Myelodysplastic Syndrome Associated With Isolated Del 5q Chromosome Abnormality 5q Syndrome 1

Leukemic Stem Cell Score Predicts Myelodysplastic Syndrome Prognosis Hematology Labmedica Com

Leukemic Stem Cell Score Predicts Myelodysplastic Syndrome Prognosis Hematology Labmedica Com

Myelodysplastic Syndromes Mds Flow Cytometry

Myelodysplastic Syndromes Mds Flow Cytometry

Myelodysplastic Syndrome With Excess Blasts Mds Eb 1 Cell Atlas Of Haematological Cytology

Myelodysplastic Syndrome With Excess Blasts Mds Eb 1 Cell Atlas Of Haematological Cytology

Myelodysplastic Syndromes The Biomedical Scientist Magazine Of The Ibms

Myelodysplastic Syndromes The Biomedical Scientist Magazine Of The Ibms

Myelodysplastic Syndrome With Excess Blasts

Myelodysplastic Syndrome With Excess Blasts

Clinical Presentation Diagnosis And Prognosis Of Myelodysplastic Syndromes The American Journal Of Medicine

Clinical Presentation Diagnosis And Prognosis Of Myelodysplastic Syndromes The American Journal Of Medicine

Mds Dyserythropoiesis Dysmyelopoiesis Dysmegakaryopoiesis A Laboratory Guide To Clinical Hematology

Mds Dyserythropoiesis Dysmyelopoiesis Dysmegakaryopoiesis A Laboratory Guide To Clinical Hematology

Diagnosis And Classification Of Myelodysplastic Syndrome International Working Group On Morphology Of Myelodysplastic Syndrome Iwgm Mds Consensus Proposals For The Definition And Enumeration Of Myeloblasts And Ring Sideroblasts Haematologica

Diagnosis And Classification Of Myelodysplastic Syndrome International Working Group On Morphology Of Myelodysplastic Syndrome Iwgm Mds Consensus Proposals For The Definition And Enumeration Of Myeloblasts And Ring Sideroblasts Haematologica

An Example Of Myelodysplastic Syndrome With Excess Blasts Mds Raeb2 Download Scientific Diagram

An Example Of Myelodysplastic Syndrome With Excess Blasts Mds Raeb2 Download Scientific Diagram

A Case Of Benign Pelger Huet Anomaly

A Case Of Benign Pelger Huet Anomaly

Milkav5h5jhjnm

Milkav5h5jhjnm

Myelodysplastic Syndromes Mds Flow Cytometry

Myelodysplastic Syndromes Mds Flow Cytometry

Myelodysplastic Syndrome Lab Tests Online

Myelodysplastic Syndrome Lab Tests Online

Myelodysplastic Syndrome According To Who 2016

Myelodysplastic Syndrome According To Who 2016

Myelodysplastic Syndrome According To Who 2016

Myelodysplastic Syndrome According To Who 2016

Pathology Outlines Mds Mpn With Ring Sideroblasts And Thrombocytosis

Pathology Outlines Mds Mpn With Ring Sideroblasts And Thrombocytosis

Myelodysplasia Flashcards Quizlet

Myelodysplasia Flashcards Quizlet

Clinical And Histologic Evaluation Of Myelodysplastic Syndromes Ppt Download

Clinical And Histologic Evaluation Of Myelodysplastic Syndromes Ppt Download

Myelodysplastic Syndromes Basicmedical Key

Myelodysplastic Syndromes Basicmedical Key

Myelodysplastic Syndrome Ask Hematologist Understand Hematology

Myelodysplastic Syndrome Ask Hematologist Understand Hematology

1

1

Therapy Related Myelodysplastic Syndrome A Case Report And Review Of Literature

Therapy Related Myelodysplastic Syndrome A Case Report And Review Of Literature

Myelodysplastic Syndrome Clinically Presenting With The Classic Ttp Pentad

Myelodysplastic Syndrome Clinically Presenting With The Classic Ttp Pentad

Hematology Acute Leukemias Myelodysplastic Syndrome Aplastic Anemia Flashcards Quizlet

Hematology Acute Leukemias Myelodysplastic Syndrome Aplastic Anemia Flashcards Quizlet

Mds Cap Today

Mds Cap Today

Figure 2 From The Myelodysplastic Syndromes Semantic Scholar

Figure 2 From The Myelodysplastic Syndromes Semantic Scholar

Significance Of Teardrop Cells In Peripheral Blood Smears

Significance Of Teardrop Cells In Peripheral Blood Smears

Diagnosis And Classification Of Myelodysplastic Syndrome Intechopen

Diagnosis And Classification Of Myelodysplastic Syndrome Intechopen

Chronic Myelomonocytic Leukemia Wikipedia

Chronic Myelomonocytic Leukemia Wikipedia

Myelodysplastic Syndromes Amboss

Myelodysplastic Syndromes Amboss

Refractory Anemia With Ringed Sideroblasts Rars A Peripheral Blood Download Scientific Diagram

Refractory Anemia With Ringed Sideroblasts Rars A Peripheral Blood Download Scientific Diagram

Myelodysplastic Syndromes The Biomedical Scientist Magazine Of The Ibms

Myelodysplastic Syndromes The Biomedical Scientist Magazine Of The Ibms

Diagnosis And Classification Of Myelodysplastic Syndrome Intechopen

Diagnosis And Classification Of Myelodysplastic Syndrome Intechopen

Myelodysplastic Syndrome Ask Hematologist Understand Hematology

Myelodysplastic Syndrome Ask Hematologist Understand Hematology

Figure 1 From Myelodysplastic Syndrome Mds In A Child Who Transformed To Acute Myeloid Leukaemia With Myelodysplasia Related Changes Aml Mrc Semantic Scholar

Figure 1 From Myelodysplastic Syndrome Mds In A Child Who Transformed To Acute Myeloid Leukaemia With Myelodysplasia Related Changes Aml Mrc Semantic Scholar

Therapy Related Myelodysplastic Syndrome A Case Report And Review Of Literature

Therapy Related Myelodysplastic Syndrome A Case Report And Review Of Literature

Assessment Of Dysplasia In Bone Marrow Smear With Convolutional Neural Network Scientific Reports

Assessment Of Dysplasia In Bone Marrow Smear With Convolutional Neural Network Scientific Reports

Pin Em Medical Laboratory Science

Pin Em Medical Laboratory Science

Nothing Peripheral About Assessing The Other Cytopenias

Nothing Peripheral About Assessing The Other Cytopenias

Https Www Transbiomedicine Com Translational Biomedicine Myelodysplastic Syndrome Presenting As Markedanisocytosis In The Blood Smear Pdf

Https Www Transbiomedicine Com Translational Biomedicine Myelodysplastic Syndrome Presenting As Markedanisocytosis In The Blood Smear Pdf

Myelodysplastic Syndrome Ask Hematologist Understand Hematology

Myelodysplastic Syndrome Ask Hematologist Understand Hematology

Peripheral Blood Evaluation B12 Deficiency Anemia Et Cmml

Peripheral Blood Evaluation B12 Deficiency Anemia Et Cmml

Mds Dyserythropoiesis Dysmyelopoiesis Dysmegakaryopoiesis A Laboratory Guide To Clinical Hematology

Mds Dyserythropoiesis Dysmyelopoiesis Dysmegakaryopoiesis A Laboratory Guide To Clinical Hematology

Myelodysplastic Syndrome With Excess Blasts Mds Eb 1 Cell Atlas Of Haematological Cytology

Myelodysplastic Syndrome With Excess Blasts Mds Eb 1 Cell Atlas Of Haematological Cytology

Anemia With Thrombocytosis In An Elderly Male A Case Of Myelodysplastic Syndrome Myeloproliferative Neoplasm With Ringed Sideroblasts And Thrombocytosis

Anemia With Thrombocytosis In An Elderly Male A Case Of Myelodysplastic Syndrome Myeloproliferative Neoplasm With Ringed Sideroblasts And Thrombocytosis

Https Encrypted Tbn0 Gstatic Com Images Q Tbn And9gctpmkknw62qz2njggtsd8m8owosgkwl9kp Dp N1 Mpkn5zii 3 Usqp Cau

Https Encrypted Tbn0 Gstatic Com Images Q Tbn And9gctpmkknw62qz2njggtsd8m8owosgkwl9kp Dp N1 Mpkn5zii 3 Usqp Cau

When you have to be right.

Myelodysplasia in blood smears is typically characterized by neutrophils with hypogranular cytoplasm and hypolobated or occasionally hyperlobated nuclei. All of these studies are useful to diagnose and stage the disease. The diagnosis of the myelodysplastic syndrome should include a complete blood count and peripheral blood smears. Diagnosis is by blood count peripheral smear and bone marrow aspiration and biopsy. The presence of elevated nucleated red blood cells NRBC in the peripheral blood smear points towards the presence of myelodysplastic syndrome MDS or myelophthisis. Myelodysplastic syndrome MDS is a group of disorders associated with dysfunctional and ineffective bone marrow that leads to decreased production of one or more types of blood cells. In MDS red blood cell levels may be low which causes anemia. Blood smear The peripheral blood smear usually demonstrates dysplasia in the red and white blood cell series and may reveal platelet abnormalities. Red blood cells Red blood cells are usually normocytic or macrocytic but some patients may have a subpopulation of hypochromic microcytic red cells.


If acute myeloid leukemia supervenes it. Peripheral blood smear analysis revealed anisocytes mild leukopenia and occasional hypersegmented eosinophils. When a myelodysplastic syndrome is suspected a bone marrow study should be performed including cytogenetic studies to detect genetic mutations. The diagnosis of the myelodysplastic syndrome should include a complete blood count and peripheral blood smears. Platelet levels may also be low which can cause bleeding and bruising. It can lead to anemia recurrent infections andor excessive bruising and bleeding. When you have to be right.

Post a Comment for "Myelodysplastic Syndrome Blood Smear"